Zespół przekrwienia biernego miednicy mniejszej – wyzwanie diagnostyczne dla ginekologa

Wiedza praktyczna

Zespół przekrwienia biernego miednicy mniejszej (ang. pelvic congestion syndrome – PCS) definiuje się jako obecność żylakowatych zmian w obrębie żył jajnikowych i splotów żylnych przymacicz, którym towarzyszy przewlekły zespół bólowy miednicy mniejszej. Głównym problemem związanym z PCS jest niska świadomość lekarzy dotycząca tego zespołu i wynikająca z tego bardzo mała rozpoznawalność. Podejmowane są próby nieskutecznego leczenia empirycznego oraz wykonywane są niepotrzebne inwazyjne zabiegi diagnostyczne, np. laparoskopie. W przypadku dokonania prawidłowego rozpoznania dostępna jest skuteczna, małoinwazyjna metoda leczenia – embolizacja wewnątrznaczyniowa.

Opis przypadku

Pacjentka, lat 36, 2 razy poród siłami natury, 1 raz cięcie cesarskie z powodu położenia miednicowego płodu, ogólnie zdrowa. Od ok. 1,5 roku zaczęła odczuwać silne dolegliwości bólowe zlokalizowane w podbrzuszu, głównie po stronie lewej, o napadowym charakterze. Napady bólu występowały w pozycji stojącej, zwykle w godzinach wieczornych po intensywnym wysiłku fizycznym. Pacjentka zaobserwowała również częstsze występowanie napadów w czasie miesiączki i po stosunku płciowym. Według relacji pacjentki, ból miał charakter „zginający w pół”, wymuszał przyjęcie pozycji leżącej i powodował znaczne pogorszenie jakości życia. Według skali VAS (ang. visual analogue scale, subiektywna ocena bólu w skali 0–10, gdzie 0 – brak bólu, a 10 – ból nie do wytrzymania) pacjentka oceniła nasilenie bólu na 7–8 punktów.R E K L A M A

Dostępne bez recepty środki przeciwbólowe nie łagodziły napadów, natomiast pacjentka zaobserwowała korzystny wpływ pozycji leżącej – po położeniu się napady ustępowały po różnym czasie, zwykle ok. godziny.

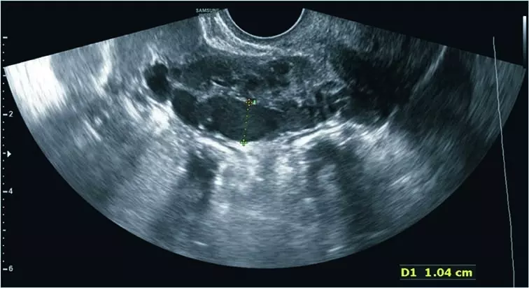
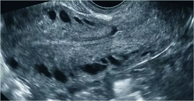
Po ok. 3 miesiącach występowania dolegliwości pacjentka zgłosiła się do lekarza rodzinnego, który po wykonaniu badań podstawowych [morfologia, CRP (ang. C reactive protein), parametry życiowe – wszystkie w normie], ze względu na opisywany związek dolegliwości z cyklem miesiączkowym i współżyciem zalecił konsultację ginekologiczną. W badaniu dwuręcznym stwierdzono niewielką tkliwość przydatków i macicy, we wziernikach obecność obfitej, niezapalnej wydzieliny w pochwie, pH 4.0. Lekarz ginekolog wykonał również ultrasonograficzne (USG) badanie przezpochwowe, nie stwierdzając nieprawidłowości. Podejrzewając zapalenie przydatków, zalecił antybiotykoterapię i dalsze konsultacje w przypadku braku poprawy. Antybiotykoterapia nie zmniejszyła dolegliwości bólowych, pacjentka była również konsultowana przez chirurgów i gastrologów, wykonano USG jamy brzusznej oraz komplet badań biochemicznych, nie zdiagnozowano przyczyny bólu. W czasie procesu diagnostycznego podejmowano próby leczenia empirycznego za pomocą doustnej antykoncepcji hormonalnej, leków rozkurczowych, niesterydowych leków przeciwzapalnych i antybiotyków – bez pozytywnego efektu. W trakcie kolejnej konsultacji ginekologicznej, ze względu na podejrzenie endometriozy, pacjentce zaproponowano laparoskopię diagnostyczną, w trakcie której nie stwierdzono nieprawidłowości. Wobec niestwierdzenia patologii mogącej tłumaczyć objawy poinformowano pacjentkę o możliwości rozważenia histerektomii z przydatkami bądź próby rozważenia zaakceptowania dolegliwości. Ostatecznie, po ok. 1,5 roku od wystąpienia pierwszych objawów, pacjentka trafiła na konsultację do III Kliniki Ginekologii. W trakcie ponownego przezpochwowego badania USG uwagę zwróciły następujące znaleziska: liczne poszerzone naczynia żylne w obrębie myometrium (ryc. 1) oraz poszerzone naczynie żylne w okolicy lewych przydatków – żyła jajnikowa lewa (ryc. 2). Po uciśnięciu sondą pacjentka podawała jedynie nieznaczne dolegliwości w okolicy lewego jajnika, natomiast bardzo żywo reagowała bólowo przy ucisku okolicy poszerzonego naczynia. W badaniu dopplerowskim w poszerzonej żyle jajnikowej stwierdzono nieprawidłowy, wahadłowy przepływ (ryc. 3). Na podstawie obrazu USG wysunięto podejrzenie zespołu PCS. W kolejnym etapie diagnostyki wykonano badanie rezonansu magnetycznego z opcją naczyniową, w którym stwierdzono znaczne poszerzenie splotów żylnych przymacicz oraz żyły jajnikowej lewej, potwierdzając rozpoznanie PCS. 

Pacjentka została zakwalifikowana do wenografii w Zakładzie Radiologii Zabiegowej i Neuroradiologii Uniwersytetu Medycznego w Lublinie, w trakcie której ostatecznie potwierdzono rozpoznanie oraz wykonano zabieg embolizacji wewnątrznaczyniowej żyły jajnikowej lewej. Przebieg zabiegu był niepowikłany. Po 3 miesiącach na wizycie kontrolnej pacjentka zgłosiła jedynie sporadyczne pobolewania podbrzusza o natężeniu 2 w skali VAS.

Omówienie problemu

Przedstawiony powyżej przypadek dotyczy PCS, jednej z przyczyn przewlekłego zespołu bólowego miednicy mniejszej (ang. chronic pelvic pain – CPP), który manifestuje się dolegliwościami bólowymi w obrębie podbrzusza o różnym stopniu nasilenia, często w znacznym stopniu upośledzając jakość życia.

Definicja i epidemiologia

Zespół przekrwienia miednicy mniejszej po raz pierwszy opisał w 1831 r. Gooch [1]. Szczegółowo PCS został opisany w 1949 r. przez Taylora, który jednak sądził, że zespół ten był spowodowany zaburzeniem naczyniowym wynikającym z zaburzenia równowagi między układem współczulnym a przywspółczulnym [2]. Kolejni badacze uważali nawet, że PCS jest zaburzeniem psychicznym [3]. Od wielu lat jednak wiadomo, że PCS wynika z poszerzenia żył jajnikowych i miednicznych [4]. Obecnie PCS definiuje się jako współwystępowanie przewlekłego zespołu bólowego miednicy mniejszej (przynajmniej 6 miesięcy) ze stwierdzonym w badaniach obrazowych żylakowatym poszerzeniem żył jajnikowych [5]. Częstość występowania PCS nie jest dokładnie znana. Uważa się, że znaczna część przypadków nie jest rozpoznawana. Dostępne dane pokazują, że niewydolność żyły jajnikowej może dotyczyć nawet 10% kobiet, z których u ok. 60% może rozwinąć się PCS [6].

Etiologia i czynniki ryzyka

Etiologia PCS nadal nie jest w pełni wyjaśniona. Wśród bezpośrednich przyczyn zespołu wymienia się wrodzony brak lub nabytą niewydolność zastawek w żyle jajnikowej. Bezpośrednią przyczyną niewydolności może być ucisk na żyłę jajnikową, np. przez tętnicę krezkową górną w zespole „dziadka do orzechów” lub przez powiększoną macicę. Określono czynniki ryzyka, które mogą prowadzić do wystąpienia refluksu w żyle jajnikowej i poszerzenia miednicznych naczyń żylnych [5]. Należą do nich:

  • przebyte ciąże (wpływ hormonów na układ naczyniowy, ucisk na żyłę jajnikową),
  • przebyte porody siłami natury (wzrost ciśnienia w jamie brzusznej w czasie parcia),
  • zaburzenia hormonalne [przede wszystkim PCOS (ang. polycystic ovary syndrome – PCOS)],
  • obecność żylaków (podudzi, sromu, odbytu).

Znaczenie zaburzeń hormonalnych w patogenezie PCS dodatkowo potwierdza fakt, że zespół ten praktycznie nie występuje po menopauzie [7]. Należy również podkreślić, że z przyczyn anatomicznych znacznie częściej PCS spowodowany jest nieprawidłowościami żyły jajnikowej lewej, która uchodzi do żyły nerkowej lewej. Natomiast żyła jajnikowa prawa uchodzi do znacznie większego naczynia, jakim jest żyła główna dolna, dodatkowo pod bardziej korzystnym kątem, co stwarza zdecydowanie lepsze warunki do spływu krwi.

Obraz kliniczny

Typowa pacjentka cierpiąca z powodu PCS to wieloródka w 3. lub 4. dekadzie życia z przewlekłym zespołem bólowym miednicy mniejszej. Podstawowym objawem jest ból, który często pojawia się po stosunku i może utrzymywać się nawet kilka dni, zwykle zlokalizowany po stronie lewej. Nasilenie objawów obserwuje się w godzinach wieczornych, w pozycji stojącej. Czynniki zwiększające ciśnienie wewnątrzbrzuszne, takie jak wysiłek fizyczny, ciąża czy miesiączka, również mogą nasilać dolegliwości. Typowe jest ustępowanie bólu w pozycji leżącej. Pojawić mogą się również inne, niespecyficzne objawy związane z przekrwieniem miednicy mniejszej, takie jak drażliwość pęcherza moczowego, zaparcia, bóle dolnego odcinka pleców. Często obserwuje się współistniejące żylaki sromu lub kończyn dolnych, co może wynikać zarówno z ogólnej skłonności do powstawania żylaków u danej pacjentki, jak i zaburzonego odpływu krwi z miednicy mniejszej. Dodatkowo pacjentki z PCS często są niespokojne i wykazują skłonność do depresji.

W badaniu ginekologicznym można stwierdzić przekrwienie szyjki macicy, obfitą niezapalną wydzielinę w pochwie, bolesność przy poruszaniu szyjką macicy oraz bolesność w punkcie jajnikowym. Typowy obraz kliniczny bólu wraz z tkliwością punktu jajnikowego w badaniu dwuręcznym cechuje się wysoką czułością i swoistością w rozpoznawa- 
niu PCS [8]. 

Badania obrazowe

W przypadku, gdy w oparciu o wywiad i badanie kliniczne podejrzewa się PCS, kolejnym krokiem jest wykonanie badań obrazowych. Podstawowym badaniem obrazowym w diagnostyce PCS jest przezpochwowe badanie ultrasonograficzne (USG) połączone z oceną dopplerowską. Z jednej strony należy pamiętać, że nie jest to badanie pozwalające dokonać jednoznacznego rozpoznania PCS. Z drugiej strony USG jest szeroko dostępne, tanie i nieinwazyjne i z tego powodu jest to badanie obrazowe pierwszego rzutu u pacjentek diagnozowanych w kierunku PCS. W praktyce klinicznej pacjentki są kwalifikowane do dalszej diagnostyki w oparciu o wynik przezpochwowego USG. Dlatego niezwykle istotna jest znajomość kryteriów ultrasonograficznego rozpoznania PCS. 

Proponowane ultrasonograficzne kryteria diagnostyczne PCS obejmują: [9] 

  • poszerzenie żył miednicy (żyły jajnikowej lub miednicznych splotów żylnych) > 6 mm,
  • spowolniony (< 3 cm/s) bądź odwrócony/wahadłowy przepływ krwi (szczególnie podczas manewru Valsalvy),
  • poszerzone żyły łukowate przechodzące przez mięsień macicy,
  • zmiany policystyczne jajników.

Badania obrazowe drugiego rzutu to tomografia komputerowa i rezonans magnetyczny. Przewaga tych technik nad USG wynika z faktu możliwości całościowej oceny anatomii miednicy i braku zależności od umiejętności operatora. Uzyskane informacje mogą być przydatne w trakcie planowania leczenia zabiegowego. Uważa się, że wynik wenografii rezonansu magnetycznego jest porównywalny z klasyczną wenografią [5]. Po potwierdzeniu rozpoznania pacjentki kwalifikuje się do zabiegu wenografii, który z jednej strony jest złotym standardem w rozpoznawaniu PCS, a z drugiej umożliwia również wykonanie równoczasowo zabiegu leczniczego – embolizacji wewnątrznaczyniowej.

Opcje terapeutyczne

Opisano następujące opcje leczenia PCS:

  • chirurgiczne podwiązanie żył jajnikowych,
  • farmakoterapia,
  • histerektomia z przydatkami,
  • embolizacja wewnątrznaczyniowa.

Chirurgiczne podwiązanie żył jajnikowych – stosowano zarówno technikę operacji z dostępem zaotrzewnowym na drodze laparotomii [10], jak i laparoskopii [11]. Autorzy zwrócili uwagę na fakt, że problemem może być podwiązanie wszystkich odgałęzień żył jajnikowych, co może decydować o skuteczności zabiegu. Chociaż wyniki opublikowane w tych pracach były zachęcające (poprawa u ok. 73% pacjentek), to obejmowały one niewielkie grupy pacjentek. Ponadto stwierdzono również częste występowanie nawrotów. Obecnie ze względu na wysoki stopień inwazyjności oraz brak odpowiednich badań potwierdzających skuteczność nie rekomenduje się stosowania tych technik.

Farmakoterapia obejmuje stosowanie progestagenów (przede wszystkim octanu medroksyprogesteronu), ze względu na ich działanie obkurczające na naczynia żylne. W krótkim okresie obserwacji stwierdzono złagodzenie objawów u ok. 40% pacjentek [12]. W badaniach pilotażowych wykazano również zachęcającą skuteczność implantu z etonogestrelem [13]. Krótkotrwałe złagodzenie dolegliwości mogą zapewnić niesterydowe leki przeciwzapalne, ale nie powinny być stosowane przewlekle. Nie zaleca się stosowania doustnej antykoncepcji hormonalnej w leczeniu PCS.

Histerektomia z przydatkami z oczywistych przyczyn, takich jak okaleczający charakter zabiegu, wywołanie sztucznej menopauzy i ryzyko powikłań, nie jest obecnie zalecana i powinna być traktowana jako postępowanie historyczne. Ponadto pisywana skuteczność (poprawa u ok. 2/3 pacjentek) była niższa niż w przypadku podwiązania żył jajnikowych [8].

Ryc. 1. W przezpochwowym badaniu USG w obrębie myometrium stwierdzono obecność licznych poszerzonych żył łukowatych (echoujemne obszary)

 

Ryc. 2. W przezpochwowym badaniu USG stwierdzono poszerzoną żyłę jajnikową lewą do 10,4 mm

 

Ryc. 3. W przezpochwowym badaniu USG w opcji dopplera pulsacyjnego stwierdzono wahadłowy przepływ w obrębie poszerzonej żyły jajnikowej

 

Złotym standardem diagnostyki i leczenia PCS jest wprowadzona w połowie lat 90. XX w. embolizacja wewnątrznaczyniowa. Zabieg ten zrewolucjonizował leczenie PCS. Embolizacja wewnątrznaczyniowa jest minimalnie inwazyjnym zabiegiem przeprowadzanym przez radiologa zabiegowego w znieczuleniu miejscowym. Po uzyskaniu dostępu przez żyłę udową (rzadziej przez żyłę szyjną) cewnikuje się lewą żyłę nerkową i następnie lewą żyłę jajnikową. W trakcie wenografii wykonuje się próbę Valsalvy w celu uwidocznienia refluksu w mniej zaawansowanych przypadkach. Uwidocznienie refluksu w żyle jajnikowej ostatecznie potwierdza rozpoznanie PCS i umożliwia równoczasowe zamknięcie zmienionej chorobowo żyły. Do zamykania żył używa się spiral wewnątrznaczyniowych i etoksysklerolu (substancja drażniąca, powoduje stan zapalny w ścianie żyły i zamknięcie światła naczynia). Zazwyczaj podejmuje się próbę cewnikowania również prawej żyły jajnikowej, ale jeśli naczynie to nie jest widoczne lub nie zostanie szybko zacewnikowane, to prawdopodobnie jest ono małe i bez refluksu – można wtedy bezpiecznie zakończyć zabieg. 

W pracy przeglądowej opisującej dotychczasową skuteczność embolizacji wewnątrznaczyniowej w leczeniu PCS stwierdzono: [5]

  • poprawę jakości życia u 40–100% pacjentek według subiektywnej oceny,
  • średni spadek oceny bólu w skali VAS o 2,5–5,6 od średnich wyjściowych wartości 7,2–7,9.

Badanie kliniczne z randomizacją wykazało lepszą skuteczność embolizacji wewnątrznaczyniowej w stosunku do histerektomii [14]. Ocenie poddano również długoterminowy efekt embolizacji wewnątrznaczyniowej: w grupie 97 pacjentek wykazano 83-procentową skuteczność w okresie 4-letniej obserwacji [15].

W świetle powyższych informacji należy uznać, że obecnie metodą z wyboru w leczeniu PCS jest embolizacja wewnątrznaczyniowa.

Powikłania embolizacji wewnątrznaczyniowej

Powikłania związane z zabiegiem embolizacji wewnątrznaczyniowej występują rzadko (< 5%) [5]. Najczęstszym jest zakrzepowe zapalenie żył. Czasem obserwuje się również skurcz i przerwanie ściany naczynia z wynaczynieniem kontrastu, co jednak z reguły nie ma znaczenia klinicznego.

W początkowym okresie stosowania zabiegu sporadycznie zdarzały się przypadki migracji spiral wewnątrznaczyniowych do tętnic płucnych. Od czasu wprowadzenia dodatkowo etoksysklerolu do zamykania naczyń praktycznie nie obserwuje się już tego typu powikłań [5].

Doświadczenia autorów

W opublikowanej niedawno pracy oceniono skuteczność i powikłania zabiegu embolizacji naczyniowej wykonywanej w ośrodku autorów. W grupie 24 pacjentek leczonych zabiegiem embolizacji wewnątrznaczyniowej z powodu PCS stwierdzono istotny spadek mediany nasilenia bólu w skali VAS z 8 na 1. W jednym przypadku przeprowadzenie bezpiecznej embolizacji nie było technicznie możliwe (odstąpiono od zabiegu), w 2 przypadkach stwierdzono uszkodzenie żyły jajnikowej z wynaczynieniem kontrastu (klinicznie bez znaczenia), w 1 przypadku w miejscu wkłucia zaobserwowano niewielki krwiak [16].

Opisywany przypadek – uwagi praktyczne

Analizując przebieg opisanego przypadku, można zadać pytanie, na jakim etapie popełniono błędy i czy można je było wyeliminować. Wydaje się, że podstawowy problem to nierozpoznanie PCS w czasie pierwszego badania USG. Oczywiście nie można mieć pewności, że w początkowym etapie choroby zmiany w układzie żylnym były ewidentnie widoczne. Natomiast należy podkreślić, że biorąc pod uwagę typowy wywiad i klasyczne dolegliwości bólowe, ultrasonografista powinien zwrócić szczególną uwagę na możliwość występowania PCS u tej pacjentki. Nie chodzi tutaj wyłącznie o ocenę narządu rodnego i naczyń żylnych pod kątem kryteriów rozpoznawania PCS. Dodatkowo powinno się uwzględnić pewne czynniki dodatkowe, które mogą utrudnić rozpoznanie choroby. Zazwyczaj pacjentka oczekuje na wykonanie badania przez pewien okres w pozycji siedzącej, co może spowodować odpłynięcie krwi z nieprawidłowych naczyń żylnych. Efekt ten może być dodatkowo nasilony podczas wykonywania samego badania USG, gdyż badanie to wykonuje się typowo w pozycji leżącej, podkładając często pod pośladki pacjentki specjalną poduszkę w celu uniesienia miednicy. Dlatego w przypadkach wątpliwych można poprosić pacjentkę o kilkunastominutowy spacer bezpośrednio przed wykonaniem badania, a samo badanie wykonać w pozycji stojącej. Pomocne bywa także wykonanie próby Valsalvy w trakcie badania USG. 

Zaskakujące może wydawać się również niestwierdzenie zmian w czasie laparoskopii diagnostycznej. Prawdopodobnie wynikało to z faktu, że zespół operujący być może nie brał pod uwagę PCS jako jednej z możliwych przyczyn dolegliwości pacjentki i nie ocenił w trakcie zabiegu naczyń żylnych miednicy. Ponadto pozycja Trendelenburga, jak również ciśnienie dwutlenku węgla podanego w celu wykonania odmy brzusznej mogły spowodować odpłynięcie krwi i zmniejszenie żylaków.

Podsumowanie

Zespół PCS jest jedną z możliwych przyczyn CPP. Diagnostyka różnicowa CPP koniecznie powinna uwzględniać PCS, zarówno w trakcie zbierania wywiadu, badania klinicznego, jak również badania USG.

Embolizacja wewnątrznaczyniowa jest małoinwazyjną, skuteczną i bezpieczną metodą leczenia PCS.


Piśmiennictwo

  1. Gooch R. An account of some of the most important diseases peculiar to women. J. Murray, London 1831.
  2. Taylor H.C. Vascular congestion and hyperemia; their effect on function and structure in the female reproductive organs; etiology and therapy. Am J Obstet Gynecol 1949; 57: 654–68.
  3. Cohen M.E., Robins E., Purtell J.J., Altmann M.W., Reid D.E. Excessive surgery in hysteria; study of surgical procedures in 50 women with hysteria and 190 controls. J Am Med Assoc 1953; 151: 977–86.
  4. Beck R.P. Pelvic congestion syndrome. Can Fam Physician Médecin Fam Can 1969; 15: 46–50.
  5. Rane N., Leyon J., Littlehales T., Ganeshan A., Crowe P., Uberoi R. Pelvic Congestion Syndrome. Curr Probl Diagn Radiol 2013; 42: 135–40. 
  6. Ganeshan A., Upponi S., Hon L.-Q., Uthappa M.C., Warakaulle D.R., Uberoi R. Chronic pelvic pain due to pelvic congestion syndrome: the role of diagnostic and interventional radiology. Cardiovasc Intervent Radiol 2007; 30: 1105–11. 
  7. Lefevre H. Broad Ligament Varicocele. Acta Obstet Gynecol Scand 1965; 43 (Suppl 7): 122–3.
  8. Beard R.W., Reginald P.W., Wadsworth J. Clinical features of women with chronic lower abdominal pain and pelvic congestion. Br J Obstet Gynaecol 1988; 95: 153–61.
  9. Giacchetto C., Catizone F., Cotroneo G.B., Cavallaro V., Cammisuli F., Minutolo V. et al. Radiologic anatomy of the genital venous system in female patients with varicocele. Surg Gynecol Obstet 1989; 169: 403–7.
  10. Hobbs J.T. The pelvic congestion syndrome. Practitioner 1976; 216: 529–40.
  11. Mathis B.V., Miller J.S., Lukens M.L., Paluzzi M.W. Pelvic congestion syndrome: a new approach to an unusual problem. Am Surg 1995; 61: 1016–8.
  12. Swanton A., Reginald P. Medical management of chronic pelvic pain: The evidence. Rev Gynaecol Pr 2004; 4: 65–70.
  13. Shokeir T., Amr M., Abdelshaheed M. The efficacy of Implanon for the treatment of chronic pelvic pain associated with pelvic congestion: 1-year randomized controlled pilot study. Arch Gynecol Obstet 2009; 280: 437–43. 
  14. Chung M.-H., Huh C.-Y. Comparison of treatments for pelvic congestion syndrome. Tohoku J Exp Med 2003; 201: 131–8.
  15. Kim H.S., Malhotra A.D., Rowe P.C., Lee J.M., Venbrux A.C. Embolotherapy for pelvic congestion syndrome: long-term results. J Vasc Interv Radiol 2006; 17: 289–97. 
  16. Pyra K., Woźniak S., Roman T., Czuczwar P., Trojanowska A., Jargiełło T. et al. Evaluation of effectiveness of endovascular embolisation for the treatment of pelvic congestion syndrome – preliminary study. Ginekol Pol 2015; 86: 346–51.

Przypisy

    POZNAJ PUBLIKACJE Z NASZEJ KSIĘGARNI